Після інциденту постраждала сама звернулася в швидку.

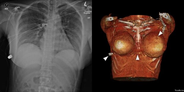
30-річна мешканка Канади розповіла, що, коли вона йшла по вулиці, раптово відчула в тілі печіння і біль. А потім побачила кров. Дівчину доставили в клініку в місті Міссіссога, де хірурги витягли з її грудей кулю, яку відправили на експертизу.

Бюст жінки зупинив кулю, яка летіла прямо у серце
Бюст жінки зупинив кулю, яка летіла прямо у серце

Незважаючи на те що куля потрапила в область грудної клітини зліва, дівчина залишилася жива і відбулася лише зламаним ребром. Медики припускають, що канадку врятували від смерті силіконові груди, так як імплантат змінив траєкторію кулі, яка летіла в серце. Як пізніше з'ясувалося, під час нападу постраждав і другий імплантат, так що дівчині довелося розпрощатися з пишним бюстом. Дивовижний випадок був описаний на сайті Sage journal.

Бюст жінки зупинив кулю, яка летіла прямо у серце
Бюст жінки зупинив кулю, яка летіла прямо у серце

При цьому знайти злочинця і з'ясувати його мотиви не вдалося. Пістолет, з якого був зроблений постріл, теж не виявили.